当院のインプラント治療症例数は1000本を超え、豊富な治療実績がございます。多くの治療を手掛けているからこそ、あらゆるケースに柔軟に対応し、適切な治療をご提供させていただきます。経験豊富な歯科医師がご対応いたしますので、安心してご相談ください。
感染予防は、インプラント治療を成功させるうえで重要なポイントです。万が一、手術中に感染を引き起こしてしまった場合、骨とインプラントはうまく結合しないことがあります。このような感染リスクを軽減するため、感染予防に徹底的に配慮した専用のインプラントオペ室をご用意していますご安心いただければと思います。
当院では、歯を失ってしまった方や、入れ歯でお悩みの方など、インプラントをご検討されている患者様を対象に無料カウンセリングを実施しています。現在のお悩みや、不安なこと、治療について知りたいことなど何でもお気軽にご相談ください。知識が豊富なスタッフが丁寧にご対応いたします。
無料カウンセリングの際に、患者様の口腔内の状態までしっかりと検査させていただきます。
現在のお口の状況を確認しながら、インプラント治療をした場合のメリット・デメリットを理解していただければと思います。
インプラント治療というと、手術が怖くて不安という方も少なくありません。当院では、安心して治療を受けていただくために静脈内鎮静法の導入によって痛みや不安を和らげる努力をしています。
また、インプラント治療後の予後不良などに対しても万全のサポート体制を整えており、10年間の保証制度もございますのでご安心いただければと思います。
当院では、世界70ヵ国、500万人以上の患者様が利用する世界トップシェアのストローマンインプラントと、ジェネリックインプラントであるオステムインプラントを採用しています。
オステムインプラントは安価で経済的な負担が少ないのが特徴です。
患者様のご要望や状況に合わせて適切なインプラントをご提案させていただきます。
インプラント治療は、歯を失ってしまった場合の治療方法のひとつで、顎の骨に人工的な歯根(インプラント体)を埋め込み、その上から人工歯を被せていく治療法です。万が一、歯を失ってしまった場合でもインプラント治療によって、天然歯と同じような感覚で、快適に日常生活を送ることができます。入れ歯やブリッジなどを検討されている方も、インプラント治療を一度ご検討いただければと思います。
歯を失った場合の治療としてブリッジという方法がありますが、健康な歯を削る必要があります。インプラントなら周りの歯へ負担をかけずに治療が可能です。
正しくメンテナンスを行い使用していけば、インプラントは半永久的に使用することができます。インプラント周囲炎のリスクがあるためメンテナンスは欠かせません。
正しくメンテナンスを行い使用していけば、インプラントは半永久的に使用することができます。インプラント周囲炎のリスクがあるためメンテナンスは欠かせません。
インプラント体を顎の骨に埋め込んで、その上からジルコニアなどセラミック製の人工歯を被せるため、他の治療法と比較しても非常にきれいな見た目に仕上がります。
インプラントを埋入すると、天然歯のようにしっかりと噛むことができるためお口の筋肉もしっかりと使うことができ、顎が痩せるのを防ぐことにつながります。
歯を失ってしまった場合の治療として、インプラントの他に入れ歯やブリッジなどの方法もありますが、 当院では一番にインプラント治療をおすすめしています。
他の治療法と比較して、メリット・デメリットをしっかりと理解してからインプラント治療を受けていただければと思います。
当院では、年間500本以上のインプラント治療を手掛けておりますので、あらゆる症例に対応することが可能です。インプラント専用のさまざまな機器をそろえ、インプラント埋入本数が1本から複数、上顎・下顎すべて(12本~)、骨造成術が必要な症例など、多様な患者様のインプラント治療に対応できる体制を整えております。他院で断られたとしても当院でなら治療できる可能性がありますのでお気軽にご相談ください。
他院で治療を断られてしまう多くの理由が、骨が足りない場合のインプラント治療です。
骨が足りない場合は、骨造成や骨移植など高度な技術が必要とされます。
当院では、サイナスリフトによる処置ができます。
上顎と上顎洞の間隔が狭いために骨量が不足している場合の方法で、ソケットリフトでも困難な場合に行います。
サイナスリフト同様に、インプラントを埋め込むのに十分な骨の高さが不足している場合に行う方法です。
虫歯や外傷などで歯が抜けてしまったり、歯周病などによって痩せてしまった歯槽骨を再生させ、インプラントを埋入するために必要な骨幅や高さが足りない場合に採用される治療法です。
お悩みや希望をお伺いして、患者さんにとってより良い治療をご提案します。インプラント治療の内容や注意点などもご案内します。
当院ではインプラント治療の相談を行っております。 まずはお気軽にご相談ください。
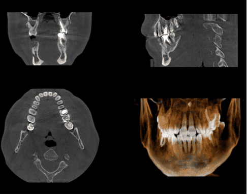
インプラント治療を安全に行うためには、事前検査はとても大切です。患者さんのあごの骨や周囲の組織の状態を詳細に検査して、より安全な治療計画を立てます。検査内容としては、歯科用CT撮影、口腔内写真、歯周病検査、模型検査などになります。
患者さんのお口の状態と治療計画をご説明します。治療内容に選択肢がある場合は、それぞれのメリットやデメリットもお伝えしますので、今後の治療を一緒に考えていきましょう。お口の中の環境が良くない場合は、先に治療を済ませる場合があります。
治療は局所麻酔下で行います。意識がなくなるわけではないのでご安心ください。1回法の手術では、埋め込んだインプラントの上部に蓋をして、あごの骨との結合期間を設けます。骨の状態が良い場合は、当日に仮歯を入れられることもあります。
インプラントとあごの骨が結合する期間(3~6か月)を置いて、人工歯を作製します。インプラントに取り付けた蓋を外してアバットメント(人工歯の土台)を取り付けて、人工歯を被せて治療は完了です。
インプラントは天然の歯と同じようにあごの骨に植立しているため、ケアが行き届かないと歯周病のような病気になります。(インプラント周囲炎)日常のセルフケアと共に、定期的なメインテナンスをお勧めしています。
インプラントは人工物で作製されているため、むし歯や歯周病の心配はいりません。
しかし、インプラント周囲の歯ぐきや骨に関しては天然のため、
日々の歯科ケアを怠ってしまうと周りの歯ぐきや顎の骨が溶けだしてインプラントを支えることさえも難しくなってしまいます。
インプラントは高価な治療になりますので、周囲炎にならないためにも定期的なメンテナンスへお越しください。
・痛み止めや抗生物質等を使用するため、妊娠中の方、妊娠の可能性のある方、授乳中の方は、インプラント治療を控えてください。
・心疾患、骨粗しょう症など内科的な疾患のある方は、インプラント治療に適さない場合があります。
・歯周病の発生リスクが高いとされる糖尿病の方、口腔内の衛生状態の悪い方、顎の骨が足りない方、喫煙者の方は、インプラント治療がすぐに行えず、事前に生活習慣の改善が必要となる場合があります。
・インプラント治療は、インプラントが骨に接着するまでに約3ヵ月~6ヵ月の治癒期間を要します。また、インプラントを埋め込む骨の厚みを増やす手術を行う場合は、さらに治療期間がかかります。
・上顎にインプラントを埋入する際に上顎洞を破る可能性があります。
・手術した時に感染が生じると蓄膿症になる場合があります。この場合は、インプラントを除去し、耳鼻咽喉科で治療を受けていただくことがあります。
・手術直後は、腫れや痛み、違和感、出血などが発生する場合がありますが、大体2~3日で治まります。
・口腔内の衛生状態が悪い方、歯ぎしり、くいしばりの強い方はインプラント周囲炎を引き起こす可能性があります。
※価格は全て税込みです
当院は、現金または各種クレジットカードでの
お支払いが可能です。
※現金での分割のご相談も承っております。
デンタルクレジットを利用することで、
一度に負担する金額を軽減することができ無理することなく治療を始めることが可能です。
また、デンタルクレジットでのお支払い分も医療費控除の対象となります。詳しくはお問い合わせください。
インプラント10年の保証期間を設けています。
一定の条件を満たしている場合のみ、保証期間内にインプラントのトラブルに無償でご対応いたします。
天然歯以上に十分な清掃とメンテンスの必要があるため、当院で定期メンテナンス受けていただく必要があります。
全身的な疾患にかかられた場合は、インプラントの動揺・脱落の可能性がありますので必ず担当の歯科医師にご報告ください。
インプラントや歯への影響が大きいため、骨粗しょう症の薬はお控えください。
歯ぎしりの症状がある場合は、ナイトガードの着用をお願いいたします。
交通事故などの外傷を受けた場合などは適用外となります。
許可無く他院で治療をされた場合は適用外となります。
着けたり外したりする手間が不要で、ご自身の歯と同じように歯磨きができるので、メンテナンスしやすいのが特徴です。その結果、長持ちさせることにもつながります。
当院は、幅広い臨床データに基づいて治療することができますので、もしトラブルが起きた場合も対処しやすいと考えています。
インプラント治療に抵抗がある方は、手術に対する恐怖心もあるのではないでしょうか。腫れや痛みを心配される方もいらっしゃいますが、実際に腫れ・痛みでつらい思いをしたという話はほとんど聞きません。インプラントを入れている方が他の歯を失ってしまったとき、多くの患者様が再びインプラント治療を希望されるのも、治療や結果に満足されているからこそでしょう。
また、当院は先端の歯科用CTを導入し、精度の高いインプラント治療を行えるのが強みです。個室のオペ室をご用意して、外科手術に伴う感染リスクも最小限に抑えるなど、安心・安全なインプラント治療をご提供します。

休診日:木曜・日曜(祝日のある週は木曜日に診療しております。)
骨の成長が終わる20歳前後の方が対象ですが、個人差があります。高血圧症や心臓疾患等の循環器系疾患、喘息等の呼吸器系疾患、糖尿病や骨粗鬆症等の疾患、腎臓や肝臓の機能障害がある方は治療を受けられない場合がございます。
日頃しっかりとお手入れをしていただき、歯科医院でのメンテナンスもしていただければ、10年以上使用していただけます。
インプラントを埋入する部位や個人差がありますが、4ヶ月~7ヶ月程度の治療期間が必要となります。
インプラント手術時は、麻酔を行いますので手術中の痛みはほとんどありません。
ただ、手術後に麻酔が切れて痛みや腫れが出ることがあります。痛みがひどい場合は、鎮痛剤をお出ししておりますのでお気軽にお申し付けください。